来我院看诊的患者名叫小鹏,他以为箍牙就是戴牙套,后来才知道牙套有多价位多种类的选择。
还知道带上牙套之前要拍片要面诊要洁牙要拔牙,反正一套程序下来比整容还麻烦。
今天想重点说的是拔智齿,几乎每个医生都会建议拔智齿,每颗一个都不留,没有长出来的智齿也会建议开刀弄出来。
而有些朋友的牙齿过于聪慧,长了多颗智齿。

当智齿不作妖的时候,它就是一个小可爱,轻微闹脾气就发炎。
暗暗使坏的时候就横着长,仗着刁钻的长势推挤旁边的牙齿,生生把正常的牙齿顶坏,更有可能的会让牙齿排列乱位,滋生咬合问题。
以为是个小可爱,其实是个壮汉

小鹏的朋友拔智齿是在箍牙后拔的,她箍之前医生建议拔掉智齿,她拒绝了,而医生也没有坚持,因为当时智齿还没有顶出来。
但医生说:你以后还是要拔的。
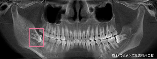
医生没有骗人,她在几年后还是去拔了,并且她的智齿长成了獠牙,往内嵌得非常深,和神经线几乎是脸贴脸,拔牙难度系数★★★★★
红圈里的那根白线就是神经线

可能智齿内嵌太深,拔完之后空的牙槽得了干燥症,一直发炎一直痛,吃了消炎药也没用。
受了这次刺激,左边的那颗状态十分相似的智齿她至今没敢去拔,但好不容易花了大价钱箍牙,再被那颗智齿顶乱……
希望她鼓起勇气,早日除掉那颗智齿,保住箍牙成果。
本来是去补坏牙,但是勇气可嘉的我,拍片看见了两颗智齿,一颗把正常的牙顶坏了,干脆就把智齿也拔了

第一次拔的时候并没有什么感觉,只是觉得喝稀饭很饿。
第二次拔,脸肿了一周,嘴也张不开,交流全靠手机弹幕,敬她是一个勇士。
同时,如果觉得牙齿有了问题,不要简单买消炎药来吃,以为不疼了就没事了,得赶紧去看医生拍片。

(武汉仁爱医院怎么样呢_武汉仁爱医院咨询预约方式)
趁早医治,千万别拖,可能你只是觉得牙龈发炎导致牙疼,其实你的牙已经坏到需要根管治疗了。
还要保持牙齿健康卫生,周期性洁牙。
过个愉快的夏天!!!
转载请注明来源:360常识大全网 http://www.360changshi.com/